• Hanover Close
  • |
  • Viking Way
  • |
  • Bar Hill
  • |
  • Cambs
  • |
  • CB23 8EH
google rating thumb1
teeth icon1
teeth icon8
teeth icon3
teeth icon3

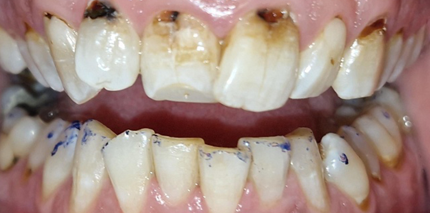
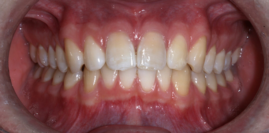
Case 1

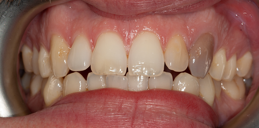
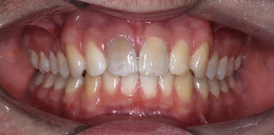
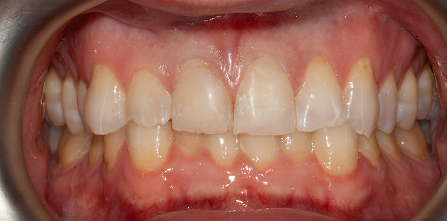
Internal Bleaching of a Traumatized Dead Tooth

Read More

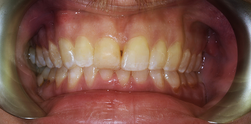
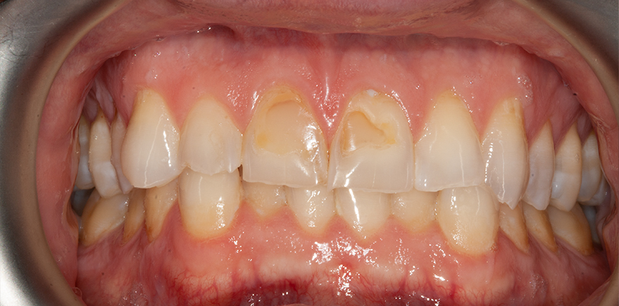
Case 2

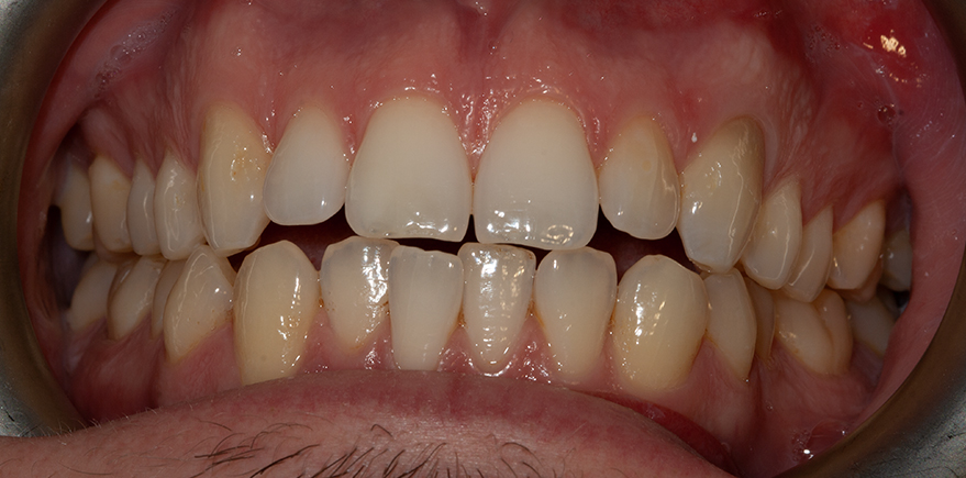
Composite Veneers

Read More

Get in touch

teeth icon1
teeth icon7
teeth icon3
teeth icon9

Reviews

google rating thumb1

“You have all been so kind and understanding and I thank you for not judging me. I cannot express how grateful I am to everyone…”

Happy Patient

“Thank you so much to everyone who cared for me during my treatment. Everyone was so kind, caring and professional.”

Happy Patient

“I just wanted to say thank you for how you have treated me. As a nervous person you have all been very patient and caring…”

Happy Patient

“Lovely receptionists.”

T Knight

“I had a massive fear of dentists and suffered with chronic anxiety haven't been for 28 years so in the end I plucked up some…”

R Moore

“New to the area, and was immediately put at ease as I’m usually really nervous going to the dentist. The staff were brilliant and caring.…”

Natalie

View all testimonials
  • Hanover Close
  • |
  • Viking Way
  • |
  • Bar Hill
  • |
  • Cambs
  • |
  • CB23 8EH
Google Rating
4.5
Google Rating